Dr Miroshnik - periodontal pocket restoration using DSI Syntoss Plus
Rare documented case from 2017 to 2021 - bone regrowth after cleaning, curretage and applying DSI Syntoss Plus
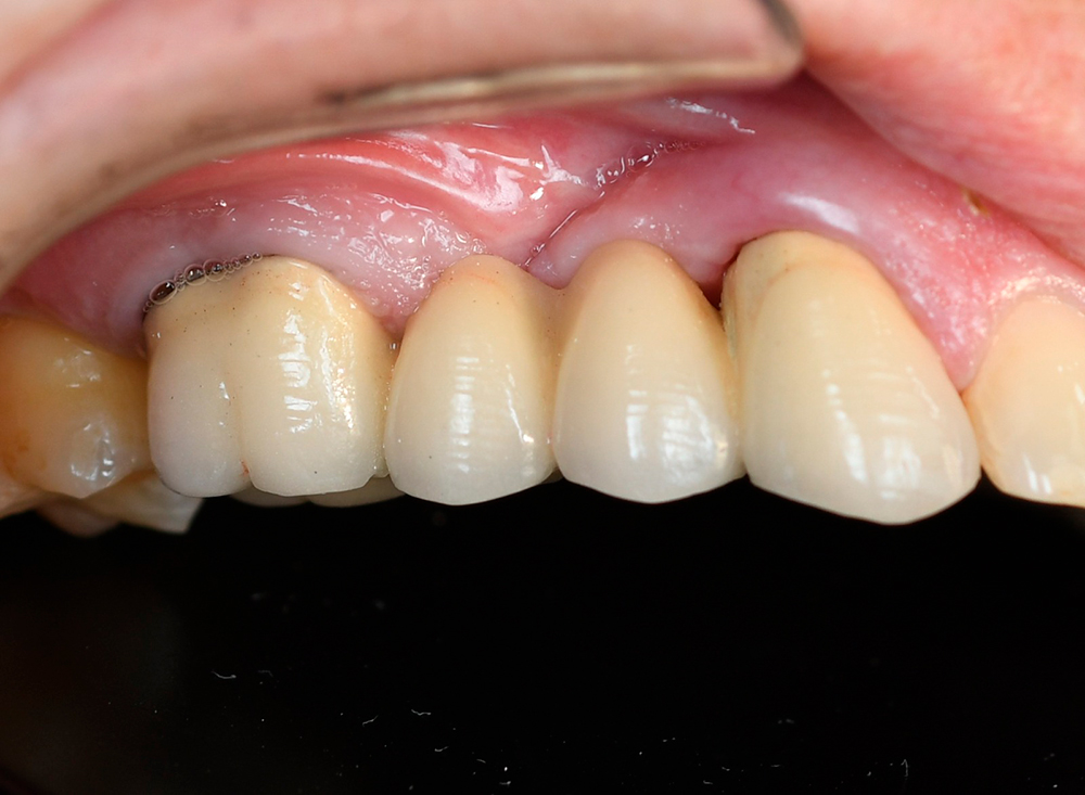
Dear colleagues, I would like to share a clinical case that I have been observing since 2017. A patient came to the clinic with complaints of swelling and pain in the area 1.3, 1.4, 1.5. Conservative therapy was suggested, and after dealing with the acute period, a surgical procedure including cleaning of the periodontal pocket, scaling and root planing and filling the bone pocket with DSI Syntoss Plus that contains beta-tricalcium phosphate granules. The procedure was performed in 2017, the old bridge was replaced with a new one, which is fixed with temporary cement for regular revision due to the unstable condition of 2.6. The patient is unable to undergo implantation for a number of reasons, so the 2.6 will be kept until the last possible moment. Its mobility is grade 2 and the condition of the mucosa can be seen in the photo. The whole process of bone maturation is shown on the x-rays. Thank you for your attention.













