Central Incisors Reconstruction Using Premium Spiral Implants And Angulated Multi Unit System
Two upper Central Incisors reconstruction using premium spiral DSI implants and angulated premium multi-unit system
Dr. Oscar Gutiérrez R.
Dr. Oscar Gutiérrez R. Is a Dental Surgeon at university of UAEMex.
Specializes in dental Orthodontics and Orthopedics. Reconstraction and restoration
wiht implementation Guide by Tomographic Mapping.
• Dr. Oscar Gutiérrez R.
• Cirujano Dentista UAEMex .
• Esp. Ortodoncia y O rtopedia M axilofacial.
• Impantología Bucal ISO TIRDEN/UNAM.
• Consulta privada.
• México Mayo 2019.
• Fresado por guía
• Implantación con Guía por Mapeo Tomográfico
Initial situation Prior extraction


Extraction of the damaged restoration


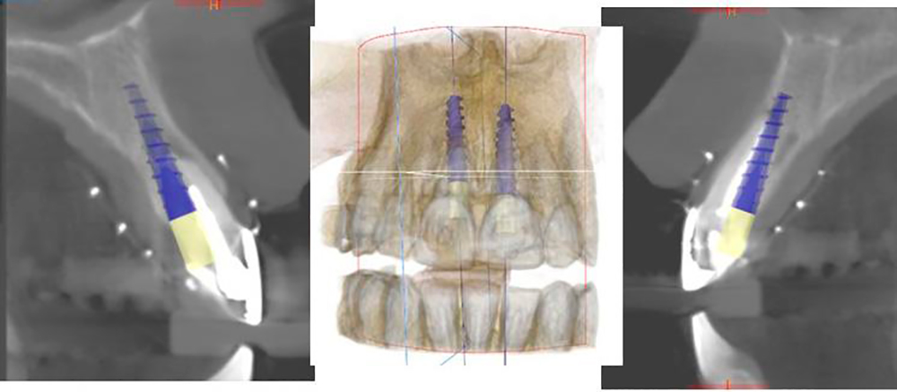
Socket preparation prior implant placement Using DSI DNT Drills


Premium Spiral Implants placement


Syntoss bone graft and Zenoss matrix membrane placing



DSI Angulated multi-unit abutments fixation



Sleeve fixation and adjustment


Crowns fixation using RFX Cement


X-Ray after placement

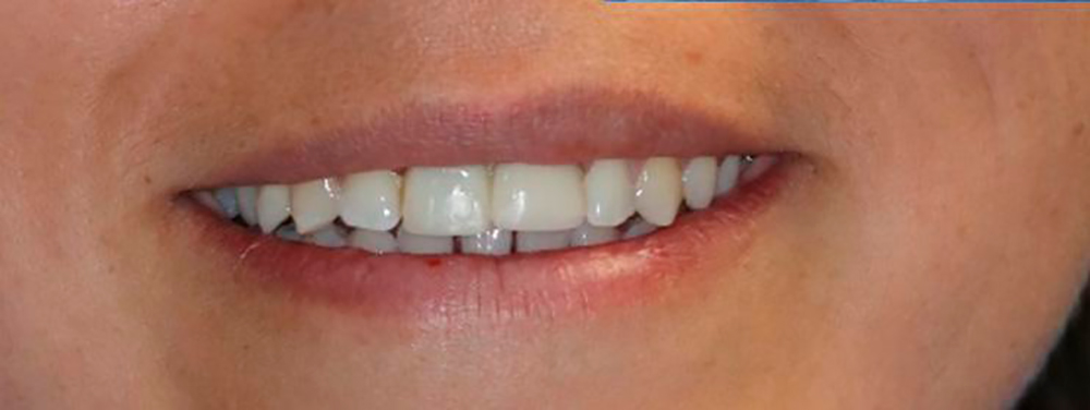
Final Stage Of The Restoration









