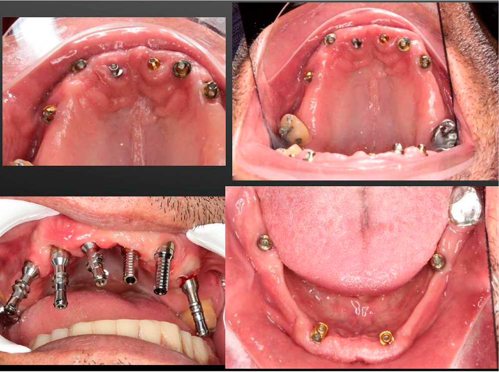
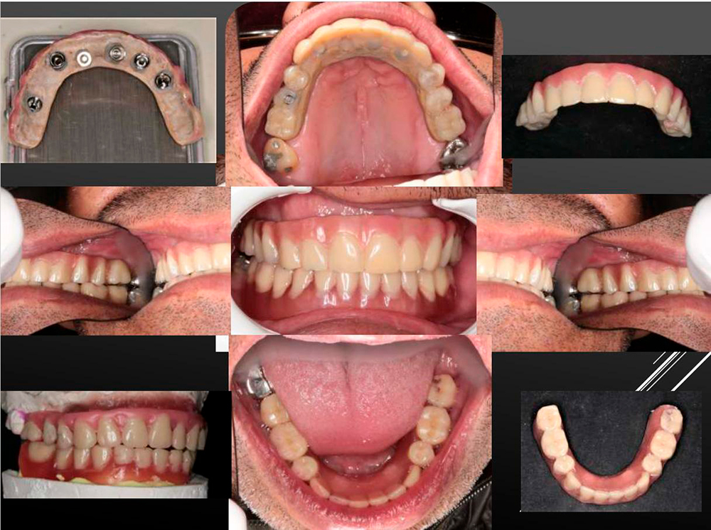
All-On-6: Entire Arch Restoration with DSI Next-Gen Multi-Unit
The wide range of DSI prosthetic parts gives the surgeon the freedom to find the ideal solution for every case.
Here is a perfect example - the removable denture based on the Premium Spiral Implants with a strong multi-unit anchoring the full upper overdenture.
Dr. Oscar Gutierrez Reyes
Especialistsa en Ortodoncia y Ortopedia Maxilar INESO-UNAM 2012
Diplomado en implantologia ISO-UNAM 2016


Implant zone 23 Bone available 7.8 x 13.2 Dsi Premium Green Line Implant 3.5x11.5

6.4 x 11.5 m, mm DSI Premium Green Line Implant 3.75 x 10. Density
HU 1332 bone type 1-2









The lower jaw is reconstructed by using the Lock-attachment system. Full restoration was created in a previos visit of the patient














