All-On-4 Mix: Entire Arch Restoration with Lock-in and Low-Lock Abutments
All-On-4 Mix: Entire Arch Restoration with Lock-in and Low-Lock Abutments
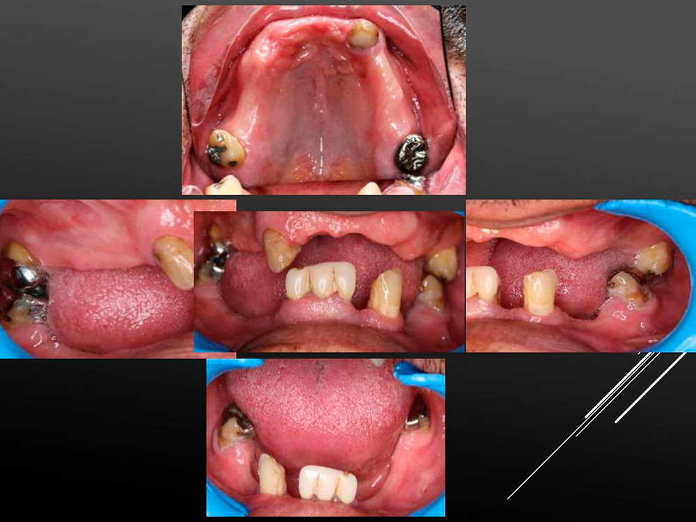
The wide range of DSI prosthetic parts gives the surgeon the freedom to find the ideal solution for every case.
Here is a perfect example - the removable denture based on the Premium Spiral Implants with a strong Loc-in anchoring the posterior part and slim highly esthetic Low-lock abutments on the anterior zone.
Dr. Oscar Gutierrez Reyes
Cirujano Dentista UAEMex 2001
Especialistsa en Ortodoncia y Ortopedia Maxilar INESO-UNAM 2012
Diplomado en implantologia ISO-UNAM 2016
Odontologo de practica privada en Lerma y Toluca Edomex, Mexico
























