All-On-4 Entire Full Arch Narrow Implant & Multi Unit Restoration
The wide range of DSI prosthetic parts gives the surgeon the freedom to find the ideal solution for every case.
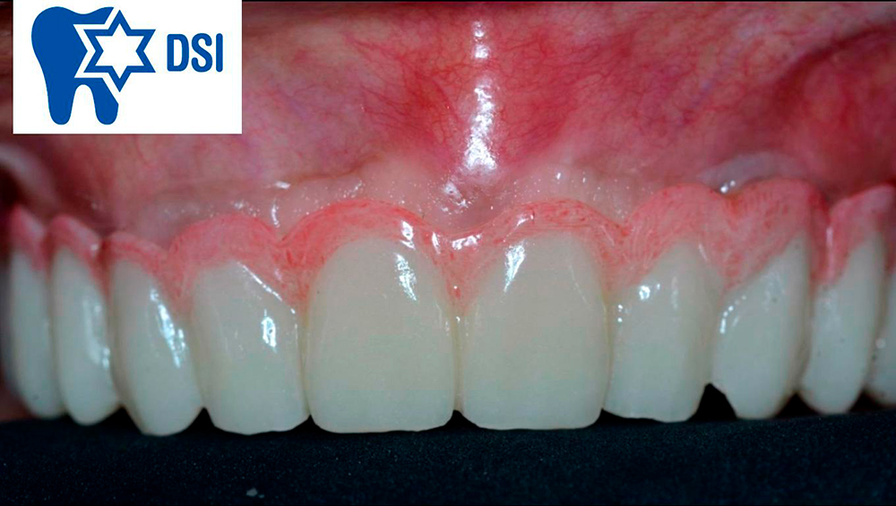
Here is a perfect example - All-On-4: Full restoration arch based on the Premium Narrown Spiral Implants with a strong multi-unit anchoring the full upper overdenture.
Dr. Miguel Asenjo
- Masters in Aesthetic and Restorative Dentistry.
- FOB / University of São Paulo, Brazil.
- Oral Rehabilitation Specialist.
- FOItaúna - Belo Horizonte / Brazil.
- Training in Functional Occlusion and Neuromuscular Dentistry in Roth & William Center.
- Responsible teacher diploma exclusive Fundamentals of Cosmetic Dentistry in the Dominican Republic.
- Clinical Director and researcher at Oral Health and Dentisalud / Dominican Republic.
- Invited to Post-Graduate Course in Oral Rehabilitation Professor. Autonomous University of Santo Domingo (UASD) Member of the Brazilian Society of Esthetic Dentistry.
- Member the Latin American Society of Operative Dentistry and Biomaterials.
- Member of the Brazilian Society Research in Dentistry.
- Scientific consultant of international companies as Dentsply International, Ivoclar Vivadent, Ultradent and Bisco.
- Academic consultant to the Panamanian Dental Association.
- Scientific consultant for the Dental Journal of Chile.
- Coauthor of Contemporary Clinical Dentistry and Practice (2004).
- National and international lecturer.
Preparation of the full arch using DSI CAD/CAM Ti-Base abutment technology for making the most precise arch.



All-on-4: 2 straight and 2 angulated DSI narrow multi unit abutments are used to hold the the final restoration.


Prosthetic planning; Full overdenture reconstruction arch is made using the DSI CAD/CAM technology.













