כתבה מדיקו
ביצוע שיקום במצב בו שן בודדת או שתיים חסרות או דורשת החלפה על ידי שתלים מדובר על פרקטיקה מקובלת הנחשבת לפשוטה ליישום. היום ניתן לעשות זאת כמעט בכל מרפאת שיניים, אך המצב הופך מאתגר יותר כאשר רוב השיניים חסרות, במקרים מסוג זה תהליך השיקום הופך למורכב בהרבה
צפו בד”ר ולדיסלב מירושניק מתראיין על כך התכנית בקו הבריאות
למחסור בשיניים מתלווה בדרך כלל גם ניוון רקמת העצם והשילוב בין השניים אינו משאיר שום אופציה מלבד שיקום באמצעות תותבת נשלפת.
חיים ללא שיניים קשים מאוד ומאתגרים עד כדי תחושה כי אי אפשר לחיות בלי שיניים.
אין מדובר בבעיית אסתטיקה בלבד, מצב של חוסר שיניים אינו מאפשר את ביצוע פעולת הלעיסה המהווה את השלב הראשון והחשוב בעיבוד מזון, דבר הגורר באופן מיידי בעיות של מערכת העיכול.
מעבר לכך מחסור בשיניים מלווה בקשיי דיבור, בעיות באכילה, אי נוחות פסיכולוגית.
אלה הם קשיים המוכרים היטב למי שאיבד את שיניו.
עד לאחרונה תותבות נשלפות היו הפרקטיקה היחידה לביצוע שיקום במצב של היעדר שיניים.
כיום, באמצעות הפיתוחים הטכנולוגיים של השנים האחרונות ניתן להתקין שתלים גם במצב של אדנטיה (מחסור מלא בשיניים) ואובדן מאסיבי של רקמות הרכס הדנטלי בעזרת שיטת All-on-X .
מהי שיטת All-on-X?
מדובר בפתרון המתקדם ביותר המאפשר ליצור תותבת מוברגת (ולהימנע משימוש בצמנט להדבקות) ולמקם שתלים בזווית של עד 45 מעלות ובכך להימנע מניתוח הרכבת רכס או הרמת סינוס שעלותם גבוהה מאוד ודורשים זמן שיקום ארוך בן מספר חודשים.

All-on-4
הטכנולוגיה פותחה במקור על ידי חברת Nobel האמריקאית-שוויצרית, מיצרניות השתלים הידועות.
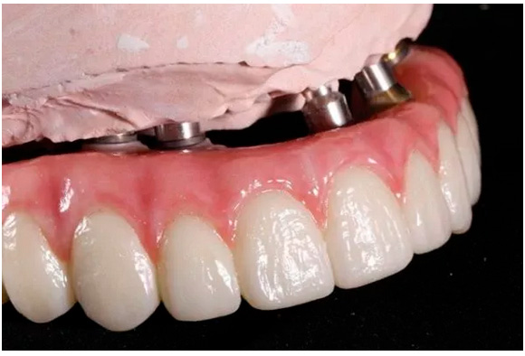
השיטה היא הרכבת גשר או תותבת של לסת עליונה/תחתונה שלמה על 4 שתלי טיטניום עם פני שטח מחוספסים המזרזים את תהליך שיקום והתחדשות הטבעית של העצם מסביב לשתל.
שני שתלים ממוקמים בקידמת הלסת במרכז, ושני שתלים נוספים מהצדדים ובהטייה (הם תומכים בשיקום מהצדדים).
התותבת מותקנת ביום הניתוח ומוברגת על חלקי-על מיוחדים הנקראים מולטי-יוניט.
במקרים בהם קיימת בנוסף גם בעיה בחניכיים, אזי הגשר/התותבת כאמור מותקנים עם שכבה נוספת של חניכיים מלאכותית המסתירות לחלוטין את כל הפגמים ברקמות של המטופל.
ביצוע העמסה מיידית של הגשר אינה למטרות אסתטיקה ואיכות החיים בלבד.
הגשר מייצב את השתלים, מעביר באופן שווה את העומס ביניהם ומונע מהם כל תזוזה.
בנוסף, גשר/תותבת כאלו יוצרים עומס פיזיולוגי על עצמות הלסת בדומה לשורש השן ו”העיסוי” הזה תורם להחלמתה.
בכדי שתהליך כולו יעבור בצורה חלקה ומבוקרת, יש לתכננו מראש. לשם כך משתמשים בהדגמות תלת מימד.
באמצעות מכשיר CT נוצר מודל של הלסת בתלת מימד ונקודות ההשתלה של השתלים נבחרות במדויק.
בנוסף ליתרונות כאמור, ההתקנה המהירה של התותבת מאפשרת לחזור לאכול ולחייך כרגיל מספר ימים בלבד לאחר הניתוח.
על פניו טכנולוגיה זו נראית כמעט מושלמת, אך יש לה חסרונות ומגבלות.
ביצוע שחזור שיניים בטכנולוגיית All-on-4 אינו אפשרי אם הלסת במצב של ניוון מתקדם ו/או כאשר העצם נפגמה באופן משמעותי.
במצב כזה, התקנת גשר על ארבעה שתלים לא תגרום ליצירת העומס הנדרש, השיקום ייכשל ותהליך הניוון וההרס יימשך.

All-on-6
פרי פיתוח מודרני יותר. בדומה לשיטה הקודמת מדובר בשיקום באמצעות תותבת היושבת על גבי שתלים עם העמסה כמעט מיידית.
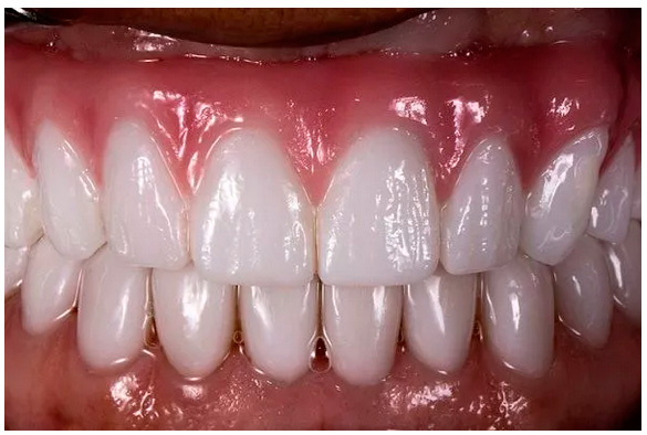
מבחינה אסתטית התוצאה זהה לחלוטין. יתקבלו שיניים יפהפיות, אחידות, בעלות מראה טבעי עם קו חניכיים מושלם ולא ניתן יהיה להבחין שהן לא אמיתיות.
ההבדל המשמעותי הוא כמות השתלים ושיטת ההתקנה.
הגשר מותקן על גבי שישה שתלים, שניים בצדדים המושתלים בזווית, ועוד ארבעה שמיקומם נקבע בהתאם לתמונה הקלינית.
במקרים מסוימים ניתן לשלב שתלים כירורגים עם שתלים קומפרסיוניים הפועלים על עקרון דחיסת העצם במקום פרוטוקול קידוח המסורתי.
ההתקנה פחות פולשנית באופן משמעותי, לא מדובר באובדן העצם במהלך הקידוח, נהפוך הוא, העצם מסביב השתל תהיה צפופה וחזקה יותר.
החיסרון היחיד הוא כי הרכבת התותבת מתבצע יומיים לאחר ההשתלה. כמובן שיש בזה אי-נוחיות מסוימת, אך היתרון הוא סיכוי מופחת לתגובה דלקתית.
העלויות הכרוכות בביצוע פתרון זה גבוהות לעומת שיטת ה All-on-4 אך עם התרחבות השימוש בשיטה זו נכנסו לשוק יצרנים נוספים שאיכות מוצריהם איננה נופלת באיכותם בהשוואה למוצר של Nobel, המציעים פתרונות חסכוניים יותר מהבחינה הפיננסית, כמו חברת DSI הישראלית.







